This patient wanted a more uniform and fresh smile. This was achieved with porcelain crowns and veneers.
This patient wanted to create a more uniform smile and to update old restorations. This was achieved with porcelain crowns and veneers.
This patient wanted to restore her worn front teeth and take back the years. A youthful, healthy appearance was achieved with porcelain veneers.
Before
After
This patient wanted to restore her aging restorations to a more fresh and uniform look. This was achieved with all porcelain restorations.
Before
After
This patient wanted to restore her aging restorations. This was achieved with all porcelain restorations.
Before
After
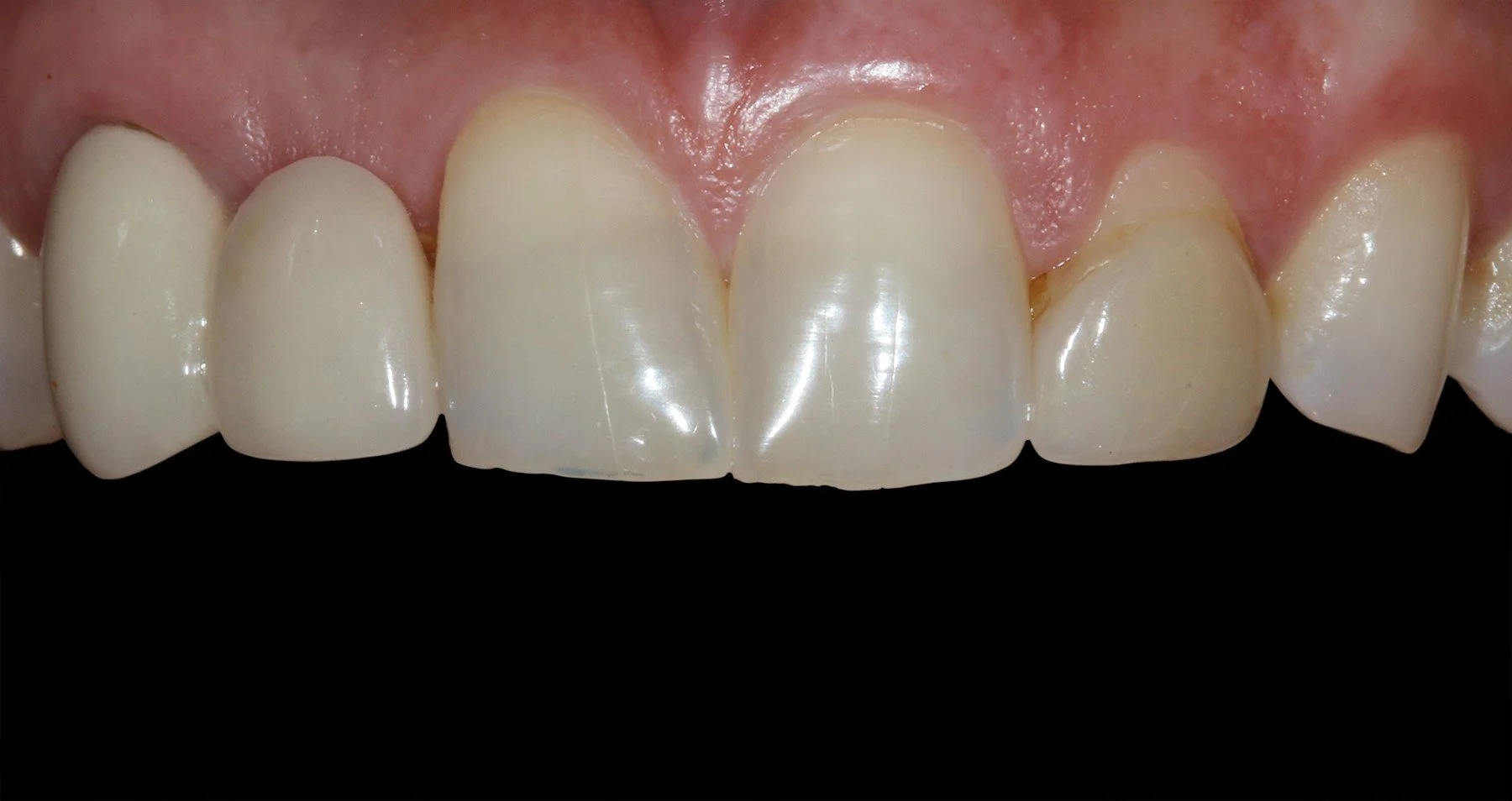
This patient wanted a brighter and more youthful smile. We achieved this result with porcelain crown and veneers.
This patient was unhappy with the appearance of his front teeth. We restored his smile with porcelain crowns and veneers.
Before
After
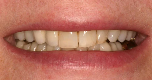
This patient was unhappy with the lack of uniformity associated with his front teeth. With a multidisciplinary approach, this patient has his gums recontoured by a periodontist prior to his restoration with porcelain crowns and veneers.
Before
After
This patient was unhappy with the spacing and shapes of her front teeth. Utilizing a multidisciplinary approach, she had orthodontic treatment prior to her all porcelain restorations.
